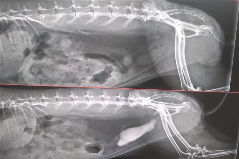
Röntgenbild von Kaninchen mit verkalktem Nierenbecken (links) und Harnleiterstein (rechts)
Abstract
Kaninchen haben aufgrund ihres besonderen Kalziumstoffwechsels ein erhöhtes Risiko für Harngrieß und Harnsteine. Neben einigen anderen Ursachen begünstigen insbesondere eine zu kalziumreiche Ernährung, Trockenfutter, Mineralsteine, eine unzureichende Wasseraufnahme und auch Bewegungsmangel mit Übergewicht Probleme mit der Blase. Die Symptome reichen von trübem, sandigem, manchmal blutigen Urin über schmerzhaften Harnabsatz bis zu lebensbedrohlichen Harnverschlüssen durch Harnsteine. Die Behandlung umfasst neben den notwendigen medizinischen Maßnahmen insbesondere eine Umstellung der Ernährung.
Allgemeines
Leider begünstigt der besondere Kalziumstoffwechsel des Kaninchens die Bildung von Harngrieß und Harnsteinen. Denn bei Kaninchen wird Kalzium nicht, wie bei anderen Tieren, nach Bedarf aus dem Darm resorbiert und das überschüssige Kalzium mit dem Kot ausgeschieden, sondern es wird zunächst alles Kalzium resorbiert und das Überschüssige wird dann in der Niere aus dem Blut gefiltert und über den Harn abgegeben. Dadurch wird Kalzium beim Kaninchen fast ausschließlich über die Harnwege ausgeschieden, bei denen es auch einige Engpässe und somit ideale Ablagerungsstellen zu bewältigen gilt. Dazu kommt, dass der pH von Kaninchenurin, wie bei allen pflanzenfressenden Tieren, alkalisch ist, also über dem Neutralwert von 7. Dieser pH-Wert begünstigt die Kristallausfällung von Kalzium im Harn. Bei dieser Kalziumablagerung entsteht dann der sogenannte Grieß, der sich in der Harnblase sammeln oder zu Steinen in den Harnleitern (führt von der Niere zur Harnblase), Harnröhre (führt von der Harnblase bis zum Ausgang) oder Nieren bzw. Nierenverkalkung (siehe Röntgenbild) führen kann.

Wichtig: Überall wo Harngrieß gefunden wird, können bereits auch schon kleine Harnsteine vorhanden sein!
Durch die extrem raue Oberfläche der Steine haften sie sehr fest an der Schleimhaut des Harntrakts und bleiben dadurch schnell stecken. Die raue Oberfläche (siehe Abbildung) bietet zudem eine optimale Grundlage zur Ablagerung weiterer Kristalle. Dadurch vergrößern sich die Steine immer mehr und werden immer schmerzhafter. Zudem können sie für einen kompletten Verschluss und daraus resultierendem Harnrückstau bis zur Niere führen, was dann eine Nierenentzündung und letztlich Niereninsuffizienz zur Folge hat.

Der Urin von Kaninchen sollte gelblich und leicht trüb sein. Kann er nicht versickern, kann er einen homogenen Rotstich annehmen. Das liegt an dem durch pflanzliche Bestandteile aufgenommenen Chlorophyll (grüner Farbstoff von Pflanzen), der mit dem in der Luft enthaltenem Sauerstoff oxidiert und sich dadurch rot färbt. Diese homogene Rotfärbung (siehe Abbildung) ist nicht zu verwechseln mit blutigen Schlieren. Im Zweifel kann ein Urinteststreifen anzeigen, ob Blut im Urin enthalten ist, oder nicht. Auch rotes Futter wie rote Bete oder Paprika, können den Urin rötlich einfärben. Dies ist nicht besorgniserregend.

Ursache
Meist ist die Ursache fütterungsbedingt durch das Anbieten von einem Salzleck- oder Mineralstein, Trockenfutter (sowohl Pellets und Mischfutter als auch Leckerlis) oder eine sehr kalziumlastige Ernährung. Zu kalziumhaltigen Futtermitteln gehören Luzerne, Kohlrabiblätter, Möhrengrün, Petersilie, Brokkoli, Löwenzahn, Grünkohl, Spinat, Mangold und ganz besonders Getrocknetes, also Trockenkräuter, Trockengemüse, Mehlsaaten und auch Heu.
Negativ damit verknüpft ist eine verringerte oder mangelnde Wasseraufnahme, weil entweder zu wenig Frisches gefüttert wird, oder das Wasser schwer erreichbar angeboten wird, wie z. B. in einer Trinkflasche, aus der sich das Kaninchen sein Trinkwasser Tropfen für Tropfen erarbeiten muss. Da Kaninchen sowieso schon eher wenig Wasser trinken, nehmen Kaninchen, die nur eine Trinkflasche zur Verfügung haben, sehr häufig leider viel zu wenig Flüssigkeit zu sich.
Des Weiteren können auch Nierenprobleme eine Kalziumausfällung durch eine schlechte Filterung verursachen. Häufig ist auch E. cuniculi dabei beteiligt. Verkalkt das Nierenbecken, kann die Verkalkung auch nach und nach weiterrutschen und dann den Harnleiter verschließen.
Wenig Bewegung, meist in Kombination mit Übergewicht, ist ebenfalls ein nicht zu unterschätzender Faktor in der Blasengrießproblematik. Bei Kaninchen, die überwiegend sitzen, setzt sich der Grieß am Blasenboden ab und wird oftmals nicht mit ausgeschieden, sodass sich immer mehr und mehr Grieß ansammeln kann. Ein Kaninchen, was dagegen viel herumhoppelt, springt und Männchen macht, schüttelt dadurch auch den in der Blase enthaltenen Grieß regelmäßig auf, sodass dieser besser mit dem Urin ausgeschieden werden kann. Eine unsaubere oder nasse Haltung können für aufsteigende Infektionen sorgen und so ebenfalls einen Teil dazu beitragen.
Auch genetische Faktoren können das Risiko für Blasenprobleme verstärken. Sie werden in der Fachschaft diskutiert, sind aber noch nicht nachgewiesen
Symptome
Liegt anfangs erst wenig Grieß vor, verläuft das Krankheitsbild oft symptomlos. Durch die mechanische Reizung des Harngrießes an der Blasenwand kann aber eine Blasenentzündung ausgelöst werden. Die Symptome hierzu sind Schmerzsymptome (aufgekrümmter Rücken, knirschen mit den Zähnen, Fressunlust…) beim Harnabsatz und dabei extremes Anheben des Hinterteils, feuchte, heiße, gerötete Haut um die Genitalregion, durch den herauströpfelnden Harn und Wundlecken, außerdem ein schmerzhafter Bauch beim Abtasten und sehr häufiger Harnabsatz mit wenig Urin. Oft kommt es auch zum Fellverlust in der Anogenitalregion und den Schenkelinnenseiten. Meist sind die Kaninchen auch nicht mehr stubenrein, wenn sie es vorher waren.
Der Urin selbst ist sehr trüb, gelbbraun, bis hin zu einer weißen Färbung und von sandiger-schlammiger Konsistenz (siehe Abbildung). Blutige Schlieren weisen auf viele Entzündungszellen und/oder eine Verletzung durch die mechanische Beanspruchung der Harnwegsschleimhaut hin.

Bei Grießbildung im hohen Ausmaß, kann diese von erfahrenen Tierärzt*innen als teigiger Blaseninhalt ertastet werden.
Wenn ein Stein die Blase verschließt oder in der Harnröhre liegt, hat das Kaninchen einen prallen Bauch durch eine randvolle Blase und häufig Untertemperatur. Dazu kommt Apathie und tröpfelnder bis gar kein Urinabsatz mehr, aber man kann ständiges Pressen beobachten, bei dem Versuch irgendwie Harn abzusetzen.
Falls die Nierenregion betroffen ist, zeigt sich das auch an klarem, weißlichem oder mit Schlieren durchsetztem Urin und starken Schmerzäußerungen. Ganz klarer, also durchsichtiger Urin, ist ein wichtiger Hinweis auf eine gestörte Filterfunktion der Niere. Das überschüssige Kalzium wird nicht mehr adäquat gefiltert und ausgeschieden.
Behandlung
Zunächst ist es wichtig, sich mittels Röntgenbild oder Ultraschall einen Überblick zu verschaffen, wo Grieß und/oder Steine vorliegen und welche Menge davon. Aufschlussreich kann auch ein Urintest sein, dazu sollte die Blase hängend vom Tierarzt ausmassiert werden, da Grieß der Schwerkraft folgt und ansonsten am Blasenboden bleiben würde, wenn man dem Kaninchen in seiner normalen Haltung die Blase ausmassiert.
Danach sollte der*die Tierarzt*in die Blase ausmassieren, um den Grieß weitgehend zu entfernen. Außerdem ist eine Flüssigkeitszufuhr in Form von Infusionskuren über 1–2 Wochen täglich und das Anbieten von Blasennierentee sehr wichtig, damit die Niere und die ableitenden Harnwege gut durchgespült werden. Um die Flüssigkeitsaufnahme zu fördern, können auch stark verdünnte zucker- und zusatzfreie Säfte (z. B. Karottensaft) angeboten werden und falls möglich auch kalziumarmes Trinkwasser (stilles Mineralwasser). Auch Rodicare Uro wirkt unterstützend und harntreibend. Sind diese Maßnahmen nicht ausreichend, um den Blasengrieß zu entfernen, kann unter lokaler Betäubung ein Harnkatheter gelegt und die Blase gespült werden, bis kein Grieß mehr vorhanden ist. Falls erforderlich sollten auch Schmerzmittel und ein Antibiotikum gegeben werden, falls eine Entzündung diagnostiziert wurde.

Vor der Blasenspülung ist der Blaseninhalt im Röntgen verschattet, danach nicht mehr.
Einige Halter*innen haben gute Erfahrungen mit chinesischen Heilkräutern gemacht, die unterstützend gegeben werden können (erhältlich bei Naturheikunde bei Tieren, bei Schlamm: Eurologist; bei Steinen: Lysium).
Die Umstellung der Ernährung ist ein wesentlicher Faktor der Behandlung. Es empfiehlt sich kräuterarmes und luzernefreies Heu. Besonders kalziumreiche, frische Pflanzen wie Karottengrün, Kohlrabiblätter, Küchenkräuter, Spinat, Brokkoli, Fenchel, Grün-/Braunkohl, Mangold, Stielmus, Portulak und Hagebutten können weiterhin gelegentlich verfüttert werden, sollten im Futterplan aber nicht überwiegen. Je dunkelgrüner das Gemüse ist, desto mehr Kalzium enthält es. Bei der Zusammenstellung der Wiese sollte der Schwerpunkt auf Gräsern (mindestens 2/3) und nicht auf Wildkräutern liegen. Zusätzlich kann das Futter noch über eine mit Wasser gefüllte Sprühflasche befeuchtet werden, um die Wasseraufnahme zu erhöhen.
Eine weitere hilfreiche Maßnahme ist es, dass Futter erhöht anzubieten (z. B. in Raufen oder aufgehängt). Durch die Streckung wird der Grieß verlagert und kann sich besser lösen. Um die Kaninchen zu mehr Bewegung zu animieren, empfiehlt es sich, das Futter im Gehege zu verteilen, sodass es gesucht werden muss, statt immer auf derselben Stelle serviert zu werden. Durch ein ausreichendes Platz- und Beschäftigungsangebot sollten die betroffenen Tiere auch sonst zu möglichst viel Bewegung animiert werden. Übergewichtige Tiere sollten durch eine Ernährungsumstellung und mehr Bewegung möglichst langsam an Gewicht verlieren (siehe hierzu auch die Infos zum Idealgewicht.)
Generell lohnt es sich gut zu beobachten, wie das eigene Tier auf bestimmte Futtermittel reagiert. So berichten Halter*innen beispielsweise von der Erfahrung, dass es beim eigenen Tier individuelle Trigger für Blasengrieß gibt, die es herauszufinden gilt und welche nach Möglichkeit nicht mehr verfüttert werden sollten.
Trockenkräuter, Trockengemüse und Mehlsaaten, müssen generell gestrichen werden, ebenso sollte Mineral-/Salzlecksteine entfernt und gut zugängliches Wasser im Napf angeboten werden. Es ist wichtig Futter mit mehr Wassergehalt zu verfüttern, damit Grieß in Zukunft besser ausgeschwemmt werden kann, also vor allem Blättriges, wie Salate, Kohl, Stangensellerie, Gurke und vor allem Wiese. Das Futter kann zusätzlich etwas angefeuchtet werden (indem man es beispielsweise mit Wasser besprüht).
Auch harntreibende Pflanzen wie Brennnessel (1 Stunde anwelken lassen), Estragon, Kerbel, Löwenzahn, Birkenblättern und -rinde, Ackerschachtelhalm, echtes Goldrutenkraut oder Riesengoldrutenkraut, Goldrute, Liebstöckel oder auch Spargel können unterstützend wirken.
Vom dem*der behandelnden Tierarzt*in kann man sich einen Schwenkgriff zeigen lassen, den man auch Zuhause anwenden kann. Alternativ kann es auch hilfreich sein leicht auf die Blase zu klopfen, um Gries zu lösen.
Ansonsten ist es noch gut, einen warmen Platz anzubieten, falls das Kaninchen Untertemperatur hat.
Da der Harn-pH so stark alkalisch ist, lässt er sich leider nicht, wie bei Hund und Katze, mittels Vitamin C Präparaten ansäuern. Diese Therapie wird bei Kleintieren (Hund und Katze) bei Struvitsteinen eingesetzt. Selbst wenn der pH Wert niedriger wäre, könnte man die Steine nicht wie Struvit auflösen, da Kaninchen eher zu Kalziumcarbonat- Kalziumoxalat und Kalziumphosphatsteinen neigen. Struvitsteine kommen bei Kaninchen nur höchst selten vor.
Die Anogenitalregion sollte sauber und trocken gehalten werden, ggf. bietet es sich an saugfähige und trockene Unterlagen (z. B. VetBeds) zu nutzen. Da ein erhöhtes Risiko für einen Fliegenmadenbefall vorliegt, sollte die Anogenitalregion in jedem Fall täglich kontrolliert und ggf. monatlich ein geeignetes Spot on verabreicht werden, bis das Kaninchen sich allein wieder trocken und sauber halten kann.Da ein Vitamin D-Mangel Probleme von Blase und Niere begünstigen kann, sollte in Innenhaltung eine UVB-Lampe für den Vitamin D3-Stoffwechsel angeboten werden.
Konnten Harnsteine oder eine verkalkte Niere im Röntgenbild festgestellt werden, muss abgeklärt werden, wie funktionstüchtig die Nieren noch sind und ob sie eventuell schon Schaden genommen haben. Die Nierenwerte werden mittels Blutuntersuchung überprüft.
Ein Stein muss in jedem Falle entfernt werden. Kleine Steine können oft durch eine Infusionstherapie rausgespült werden, größere können nur mittels OP entfernt werden. Hier sollte man lieber zu früh als zu spät handeln, falls sich der Stein noch vor/in der Blase befindet. Denn wandert der Stein zum Blasenausgang oder Penis, kann man aufgrund der schweren Zugänglichkeit nicht mehr operieren. Bei Weibchen bestehen in einem solchen Fall durchaus bessere Chancen als bei einem männlichen Tier, da man den Stein ggf. noch mit einer Pinzette erreichen kann. Es verbleibt einzig noch die Möglichkeit zu versuchen, ob der Stein noch zurück in die Blase geschoben werden kann, was durch die raue Oberfläche und das Einwachsen in die Blasenschleimhaut oft unmöglich ist.
Hier sind Schmerzmittel und Antibiotikum in der Therapie unverzichtbar!
Kann ein Stein nicht entfernt werden, kommt es zu einem Harnrückstau und die Blase platzt, in einem solchen Fall, kann man das Kaninchen leider nur noch von seinen Leiden erlösen.
Befinden sich ein Stein/Verkalkungen in einer Niere, sollte die ganze Niere entfernt werden, da sich die Niere sonst durch den Harnrückstau weiter entzünden, nicht mehr funktionsfähig sind und vor allem durch Schmerzen für eine massive Störung des Allgemeinbefindens sorgen können. Eine Niere kann die volle Leistung der anderen mit übernehmen, sodass es kein Problem darstellt, die Erkrankte zu entnehmen. Leider ist es in der Folge oft so, dass im Verlauf auch die zweite Niere verkalkt. Sind beide Nieren betroffen, kann die Möglichkeit erwogen werden, die Nieren ausschaben zu lassen. Oftmals ist dies aber nicht möglich, dann sollte das Tier erlöst werden.
Schutz
Vorbeugend wirkt eine ausgewogene wasserhaltige und nicht zu kalzium- und oxalatlastige Fütterung, sowie die oben genannten Pflanzen: Kräuter wie Brennnessel (1h anwelken lassen), Estragon, Kerbel, Löwenzahn, Birkenblättern und -rinde, Ackerschachtelhalm, Liebstöckel, echtes Goldrutenkraut oder Riesengoldrutenkraut, Goldrute, oder Spargel (falls sie welchen fressen). Heu sollte man niemals reduzieren, da ein gewisser Kalziumwert (5-6g/kg Trockensubstanz) auch nicht unterschritten werden darf, da das vom Körper benötigte Kalzium sonst den Knochen und Zähnen entzogen wird und diese dann porös werden. Es sollte jedoch auf ein kräuterarmes Heu zurückgegriffen werden. Auch wenn der Phosphorgehalt in der Nahrung insgesamt zu hoch ist, besteht die Gefahr, dass Kalzium aus Knochen und Zähnen herausgelöst wird. Daher sollte auf ein ausgeglichenes Calcium-Phosphor Verhältnis in der Nahrung geachtet werden, welches bei 1,5-2:1 (Ca:P) liegen sollte.
Mineral-/Salzlecksteine sollten den Kaninchen nicht zur Verfügung stehen, Wasser im Napf anbieten und die Kaninchen in einer sauberen und trockenen Umgebung halten.
Kaninchen, die immer wieder zu Grieß und Steinen neigen, können 20mg Magnesium-L-Hydrogenaspartat pro kg und pro Tag ins Mäulchen bekommen. Dieses sorgt für eine verminderte Kalzium- und Oxalatresorption im Darm. Hierzu sollte jedoch unbedingt Rücksprache mit dem*der behandelnden Tierarzt*in gehalten werden.
Am besten ist es immer frühzeitig zu reagieren und es von Harngrieß nicht auch noch zu Harnsteinen kommen lassen. Wenn möglich schaut man sich so oft es geht den Urin an, ob er optisch noch normal aussieht und beobachtet das Harnabsatzverhalten seiner Kaninchen, sofern das möglich ist. Die Kaninchen sollten regelmäßig gewogen werden, um Übergewicht frühzeitig zu erkennen und diesem entgegen wirken zu können. Je mehr Kaninchen zunehmen, desto eher rutschen sie in einen Teufelskreis, in dem sie sich immer weniger bewegen wollen und dadurch noch schneller zunehmen. Wer sich gerne und viel bewegt, schüttelt die natürlichen kristallinen Ausfällungen im Urin regelmäßig auf und kann sie problemlos ausscheiden.
Das könnte dich auch interessieren:
Wo finde ich einen guten Tierarzt?
Wie ernähre ich meine Kaninchen artgerecht?
Wie sollte der Urin aussehen?
Gerne unterstützt dich das Möhren sind orange-Team
bei Fragen und Problemen rund um die Kaninchenhaltung.
Erreichbar unter kontakt@moehren-sind-orange.de oder direkt hier.
