Infotext als PDF-Download (mit Bildern)
Infotext als PDF-Download (ohne Bilder)
Allgemein ist Röntgen ein (tier-)medizinisches Hilfsmittel, welches oft bei der weiterführenden Untersuchung angewendet wird. Es hilft also dabei, eine bestimmte Diagnose zu sichern, wenn bei der vorherigen Untersuchung bereits ein Verdacht auf eine Erkrankung entstanden ist. Der Tierhalter wird darüber in Kenntnis gesetzt, dass geröntgt wird und bezahlt für den Vorgang, weiß aber oft gar nicht, was eigentlich genau beim Röntgen passiert. Der folgende Text soll über folgendes informieren:
1) Was genau ist Röntgen(-strahlung) eigentlich und warum wird sie in der (Tier-)Medizin verwendet?
2) Welche Befunde können in einem Röntgenbild „aus Tierarztsicht“ auftauchen?
3) Bei welchen möglichen Erkrankungen sollte ein Kaninchenhalter mit einem Röntgenbild rechnen oder sollte im Zweifelsfall sogar gezielt darum bitten?
4) Was sind die Nachteile beim Röntgen? Wann ist es unumgänglich und warum sollte es stets mit Vorsicht genossen werden?

Ganz allgemein entsteht Röntgenstrahlung, wenn geladene Teilchen stark beschleunigt werden oder ihnen vermehrt Energie zugeführt wird. In Röntgenröhren wird dazu zunächst ein Draht so stark erhitzt, dass einige Elektronen aus der Atomhülle freigesetzt werden. Sie verlassen den Draht und erzeugen so eine Elektronenwolke. Die Elektronen werden dann mithilfe von Spannung beschleunigt und treffen auf die sogenannte Anode, wo schließlich die Röntgenstrahlung entsteht. Je mehr Elektronen dort ankommen, umso mehr Strahlung entsteht letztendlich auch.

Mithilfe dieses Verfahrens wird der Körper durchleuchtet und das Ergebnis als Bild dargestellt, auf welchem die Strukturen im Körperinneren so gut erkennbar sind, dass anhand dessen Diagnosen möglich sind. Das Bild zeigt jedoch dreidimensionale Strukturen auf einem zweidimensionalen Bild. Deshalb sind oft mehrere Röntgenaufnahmen auf verschiedenen Ebenen nötig, um die Ausmaße richtig beurteilen zu können.
Neben der konventionellen Röntgentomographie gibt es inzwischen auch die Computertomographie (CT), bei welchem der Computer die Daten analysiert, wodurch die Bildqualität um einiges besser wird. Allerdings findet dieses Verfahren in der Heimtiermedizin (noch) so gut wie keine Anwendung.
Wie gut die Strahlung durch das zu röntgende Gewebe gelangt, ist u.a. von dessen Dicke abhängig, also wie viele Atome der Strahlung „im Weg liegen“. Oft wird daher vor der Untersuchung Kontrastmittel verabreicht, um so im Röntgenbild bestimmte Strukturen darstellen zu können, die ansonsten nicht zu sehen wären. Dies ist vor allem beim Röntgen von Hohlorganen (z.B. Atemtrakt, Magen-Darm-Trakt) oft notwendig. Knochen hingegen sind durch hohen Calcium-Gehalt stets als Schatten erkennbar.
Ist das Kaninchen krank und trifft man beim Röntgen den richtigen Bereich, zeigen sich diverse sogenannte Röntgenzeichen, also sichtbare Abweichungen vom Normalzustand. Viele von ihnen sind so typisch, dass zusammen mit den Symptomen auf die Krankheit rückgeschlossen werden kann. Ist das Kaninchen z.B. sehr empfindlich im Bauchbereich und findet man dann einen aufgegasten Magen im Röntgenbild vor, ist die Krankheit schnell identifiziert und dem Kaninchen kann geholfen werden.
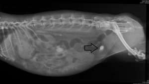
Oft hört man in diesem Zusammenhang die Begriffe „Verschattung“ und „Aufhellung“. Ersteres beschreibt einen hellen und letzteres einen dunklen Bereich im Röntgenbild. Dies klingt zunächst paradox. Allerdings muss man bedenken, dass Verschattungen in Wirklichkeit hell sind und Aufhellungen in Wirklichkeit dunkel.

Im Röntgenbild ist beispielsweise deutlich ein heller Blasenstein zu erkennen, also eine Aufhellung. Würde man den Blasenstein jedoch nicht auf einem Röntgenbild sehen, sondern in der Hand halten, wäre er dunkel.
Wann Röntgenaufnahmen erforderlich sind, ist natürlich maßgeblich von der eventuell vorliegenden Krankheit abhängig. Röntgenaufnahmen des Schädels sind stets wichtig, wenn ein Verdacht auf eine Zahnerkrankung besteht, also z. B. Eiter in der Maulhöhle oder das Kaninchen selektiert weiches Futter etc. Das Ausmaß der Zahnerkrankung ist so erkennbar und nur so kann eine realistische Prognose der Heilungschancen gestellt werden. Auch bei einem Exophthalmus (Auge tritt aus Augenhöhle heraus) sollte stets der Kopf geröntgt werden, um die Ursache dafür festzustellen. Auch bei Umfangsvermehrungen aller Art im Kopfbereich ist ein Röntgenbild nötig, um Abszesse von Tumoren abzugrenzen. Besteht der Verdacht auf E.c., weil das Kaninchen z.B. den Kopf schief hält, sollte ein Röntgenbild angefertigt werden, um sicher zu gehen, dass es sich wirklich um E.c. und nicht um eine Ohrenentzündung handelt, denn mit richtiger Behandlung können dem Kaninchen so tagelange Schmerzen erspart bleiben.
Der Brustraum sollte immer dann geröntgt werden, wenn Verdacht auf eine Lungenerkrankung besteht, da so die Menge betroffenen Gewebes erkennbar wird. Abgesehen davon ist das Röntgenbild im Brustbereich hauptsächlich zur Bestimmung von Thymomen, anderen Tumoren und Herzbeschwerden wichtig.

Der Bauchraum wird bei allen möglichen Verdauungsproblemen geröntgt, da z.B. das Ausmaß von Aufgasungen allein durch Abtasten oft nicht zuverlässig eingeschätzt werden kann. Besonders wichtig ist ein Röntgenbild hier, um sicher eine Aufgasung von einer Magenüberladung unterscheiden zu können – denn je nachdem, was vorliegt, ist die folgende Vorgehensweise sehr unterschiedlich und es ist lebenswichtig, dass hier richtig unterschieden wird. Auch muss bei Tumoren im Bauchraum röntgenologisch ausgeschlossen werden, dass Metastasten vorliegen. Bei Verdacht auf eine Blasenentzündung sollte ebenfalls ein Röntgenbild angefertigt werden, um auszuschließen, dass sich Ablagerungen in der Blase befinden, die dem Kaninchen Schmerzen verursachen. Auch eventuelle Vergrößerungen der Gebärmutter werden über ein Röntgenbild festgestellt.
Der Bewegungsapparat wird bei allerhand Lahmheiten geröntgt, um Knochenbrüche (Frakturen) oder verrenkte bzw. ausgekugelte Gelenke (Luxationen) festzustellen. Auch bei Verdacht auf Arthrose sollte stets ein Röntgenbild angefertigt werden, um Gewissheit zu haben, ob und wo Arthrose vorliegt und wie weit diese fortgeschritten ist.
So gut und zuverlässig diese Methode insgesamt auch scheint, viele Kaninchenhalter wissen (wahrscheinlich nicht zuletzt aus eigener Erfahrung), dass Röntgenstrahlung auch eine Belastung für den Körper darstellt und daher fragen sich einige Menschen, wann Strahlung unumgänglich ist und wann sie besser gemieden werden sollte.
Allgemein sind Menschen und Tiere in ihrer natürlichen Umgebung immer in einem gewissen Ausmaß Strahlung ausgesetzt. Dies ist also unumgänglich. Röntgenstrahlung aber trägt in einem Maße dazu bei, welches kontrollierbar ist. Im Übermaß führt Strahlung zu Krebs, welcher allerdings i.d.R. auch erst Jahre nach der Bestrahlung auftritt.
Allerdings beträgt die Strahlungsmenge, der wir aufgrund unserer Umwelt ohnehin ausgesetzt sind, jährlich etwa 2,4 mSv/a und beispielsweise eine Röntgenaufnahme des Thorax führt dem Patienten dann zusätzlich eine Strahlendosis von 0,2 mSv zu. Die Strahlungsmenge beim Röntgen ist also, bezogen auf die Strahlung in der Umwelt, vergleichsweise gering und sollte nicht als Argument genutzt werden, ein Röntgenbild nicht zu erstellen, da dieses oft lebensnotwendig ist. Denn ohne eine entsprechende Diagnose kann dem Tier nicht geholfen werden. Außerdem sind die Strahlenschutzmaßnahmen heute deutlich strikter als früher, sodass Mensch und Tier nie mehr Strahlung abbekommen als für die Diagnose unbedingt notwendig.
Das könnte dich auch interessieren:
Was ist eine Aufgasung?
Und was ist eine Magenüberladung?
Was kann ich bei Arthrose tun?
Gerne unterstützt dich das Möhren sind orange-Team
bei Fragen und Problemen rund um die Kaninchenhaltung.
Erreichbar unter kontakt@moehren-sind-orange.de oder direkt hier.
